-
Valsalva Retinopathy
Oct 28 2024 by Andrew Jin, MD
These fundus photos show the progression of subhyaloid hemorrhage due to valsalva retinopathy in a 38-year-old woman with hyperemesis gravidarum. She was managed conservatively with observation alone. The photos depict the initial presentation after 1 day of vision loss, at 1 month, and at 6 months of follow-up. Presenting visual acuity was counting fingers and returned to 20/20.
Condition/keywords: fundus photograph, valsalva retinopathy
-
Valsalva Retinopathy
Oct 28 2024 by Andrew Jin, MD
These fundus photos show the progression of subhyaloid hemorrhage due to valsalva retinopathy in a 38-year-old woman with hyperemesis gravidarum. She was managed conservatively with observation alone. The photos depict the initial presentation after 1 day of vision loss, at 1 month, and at 6 months of follow-up. Presenting visual acuity was counting fingers and returned to 20/20.
Condition/keywords: fundus photograph, valsalva retinopathy
-
Valsalva Retinopathy
Oct 28 2024 by Andrew Jin, MD
These fundus photos show the progression of subhyaloid hemorrhage due to valsalva retinopathy in a 38-year-old woman with hyperemesis gravidarum. She was managed conservatively with observation alone. The photos depict the initial presentation after 1 day of vision loss, at 1 month, and at 6 months of follow-up. Presenting visual acuity was counting fingers and returned to 20/20.
Condition/keywords: fundus photograph, valsalva retinopathy
-
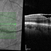
Optical Coherence Tomography of Valsalva Retinopathy at 2 Months
Oct 28 2024 by Andrew Jin, MD
OCT of a 30 year old man with resolving valsalva retinopathy 2 months after presentation.
Condition/keywords: OCT, valsalva retinopathy
-
Optical Coherence Tomography of Valsalva Retinopathy at Presentation
Oct 28 2024 by Andrew Jin, MD
OCT of a 30 year old man who presented with valsalva retinopathy
Condition/keywords: OCT, valsalva retinopathy
-
Valsalva Retinopathy
Oct 28 2024 by Andrew Jin, MD
These photos depict the fundus photo and corresponding fluorescein angiogram for a 43 year old man with emesis after food poisoning. Note the blockage from the central preretinal hemorrhage and scattered peripheral intraretinal hemorrhages.
Condition/keywords: fluorescein angiogram (FA), fundus photograph, valsalva retinopathy
-
Valsalva Retinopathy
Oct 28 2024 by Andrew Jin, MD
These photos depict the fundus photo and corresponding fluorescein angiogram for a 43 year old man with emesis after food poisoning. Note the blockage from the central preretinal hemorrhage and scattered peripheral intraretinal hemorrhages.
Condition/keywords: fluorescein angiogram (FA), fundus photograph, valsalva retinopathy
