-
By Amirfarbod Yazdanyar, MD , PhD
Retina Group of New England - Uploaded on Aug 21, 2024.
- Last modified by Joshua Friedman on Aug 22, 2024.
- Rating
- Appears in
- Miscellaneous
- Condition/keywords
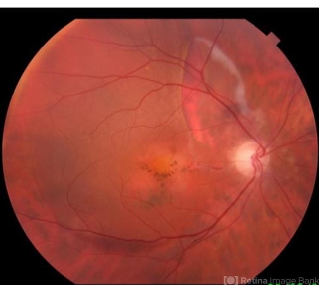
- wet age-related macular degeneration (wet AMD), RPE-rip, large pigment epithelial detachment
- Photographer
- Justin Cocilo , Retina Group of New England
- Imaging device
- Fundus camera
- Description
- Fundus photograph of a 85 year-old male with AMD who developed very large PED with RPE-rip. BCVA is 20/70

Initializing download.