-
By Akansha Sharma
Co-author(s): Dr. Urmil Shah, Bharati Eye Hospital - Uploaded on Jun 5, 2024.
- Last modified by Joshua Friedman on Jun 5, 2024.
- Rating
- Appears in
- Miscellaneous
- Condition/keywords
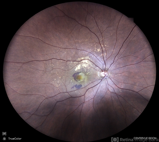
- SRNVM, subretinal neovascularization (SRNV), CNVM, choroidal neovascular membrane (CNVM), wet age-related macular degeneration (wet AMD)
- Photographer
- Dr. Akansha Sharma, Bharati Eye Hospital
- Imaging device
- Scanning laser ophthalmoscope
- Description
- Color fundus photograph of a 49 year old female with subretinal bleed suggestive of subretinal neovascular membrane.

Initializing download.