-
By Akansha Sharma
Co-author(s): Dr. Urmil Shah, Bharati Eye Hospital - Uploaded on Jun 5, 2024.
- Last modified by Joshua Friedman on Jun 5, 2024.
- Rating
- Appears in
- Miscellaneous
- Condition/keywords
- choroiditis
- Photographer
- Dr. Akansha Sharma, Bharati Eye Hospital
- Imaging device
- Scanning laser ophthalmoscope
- Description
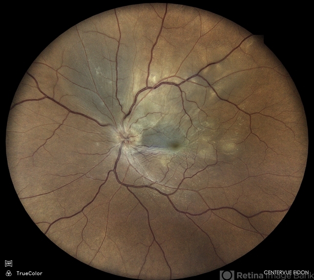
- Color fundus photograph of a 42 year old male with multifocal choroiditis.

Initializing download.