-
By T. P . VIGNESH, MBBS,MS
Aravind eye hospital - Uploaded on May 25, 2024.
- Last modified by Joshua Friedman on May 28, 2024.
- Rating
- Appears in
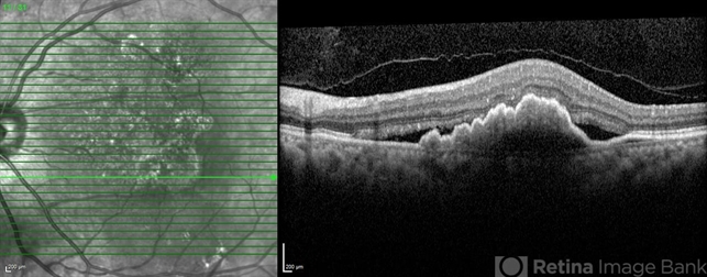
- Polypoidal choroidal vasculopathy
- Condition/keywords
- polypoidal choroidal vasculopathy (PCV)
- Photographer
- Sivanath
- Imaging device
-
Optical coherence tomography system
Heidelberg Spectralis - Description
- SD- OCT of the left eye of a 65 year old man revealing multilobulated large PED.

Initializing download.