-
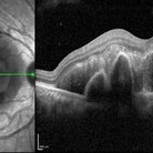
Polypoidal choroidal vasculopathy with cystoid macular edema
Nov 6 2022 by T. P . VIGNESH, MBBS,MS
SD-OCT of a 65 year old man revealing PCV with CME .
Photographer: Priyanka
Imaging device: Heidelberg Spectralis
Condition/keywords: polypoidal choroidal vasculopathy (PCV)
-
Polypoidal choroidal vasculopathy
Nov 21 2022 by T. P . VIGNESH, MBBS,MS
SD-OCT of a 60 year old woman revealing a large PED , multilobular PED and subretinal hemorrhage .
Photographer: Priyanka
Imaging device: Heidelberg Spectralis
Condition/keywords: polypoidal choroidal vasculopathy (PCV)
-
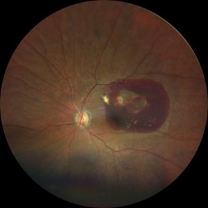
Polypoidal choroidal vasculopathy
Apr 14 2023 by T. P . VIGNESH, MBBS,MS
Fundus photograph of an 65-year-old woman with Polypoidal choroidal vasculopathy.
Photographer: Bharathi S
Imaging device: ZEISS CLARUS
Condition/keywords: polypoidal choroidal vasculopathy (PCV)
-
Polypoidal Choroidal Vasculopathy
May 25 2024 by T. P . VIGNESH, MBBS,MS
SD- OCT of the left eye of a 65 year old man revealing multilobulated large PED.
Photographer: Sivanath
Imaging device: Heidelberg Spectralis
Condition/keywords: polypoidal choroidal vasculopathy (PCV)
