-
By Ethan K Sobol, MD
The Retina Group of Washington - Uploaded on May 10, 2024.
- Last modified by Joshua Friedman on May 13, 2024.
- Rating
- Appears in
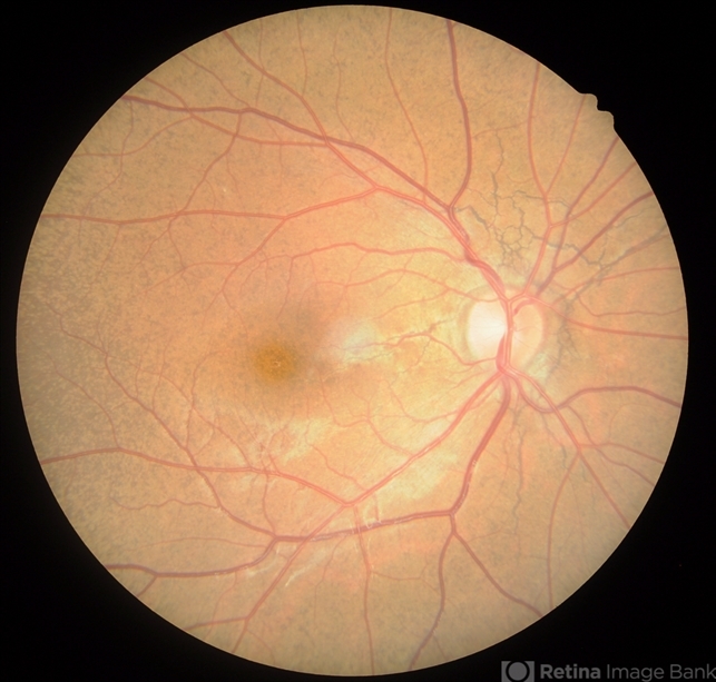
- Pseudoxanthoma Elasticum
- Condition/keywords
- pseudoxanthoma elasticum (PXE), angioid streaks, peau d'orange fundus
- Description
- An asymptomatic patient with biopsy proven pseudoxanthoma elasticum. Both eyes had prominent peripapillary angioid streaks and a peau d'orange fundus appearance in the temporal macula.

Initializing download.