-
Pseudoxanthoma Elasticum with Angioid Streaks
May 10 2024 by Ethan K Sobol, MD
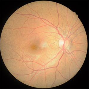
An asymptomatic patient with biopsy proven pseudoxanthoma elasticum. Both eyes had prominent peripapillary angioid streaks and a peau d'orange fundus appearance in the temporal macula.
Condition/keywords: angioid streaks, peau d'orange fundus, pseudoxanthoma elasticum (PXE)
