-
By Akansha Sharma
Co-author(s): Dr. Urmil Shah, Bharati Eye Hospital - Uploaded on May 7, 2024.
- Last modified by Joshua Friedman on May 7, 2024.
- Rating
- Appears in
- Miscellaneous
- Condition/keywords
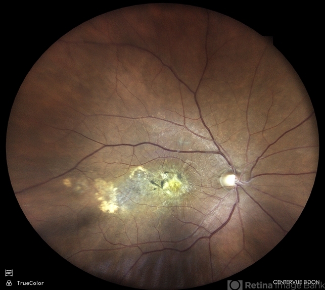
- CNVM, choroidal neovascular membrane (CNVM)
- Photographer
- Dr. Akansha Sharma, Bharati Eye Hospital
- Imaging device
- Scanning laser ophthalmoscope
- Description
- Color fundus photograph of a 75 year old male with scarred choroidal neovascular membrane.

Initializing download.