-
By Thirumalesh Mochi Basavaraj, MD
Narayana Nethralaya
Co-author(s): Dr Aayesha Khanum - Uploaded on Feb 6, 2024.
- Last modified by Joshua Friedman on Feb 7, 2024.
- Rating
- Appears in
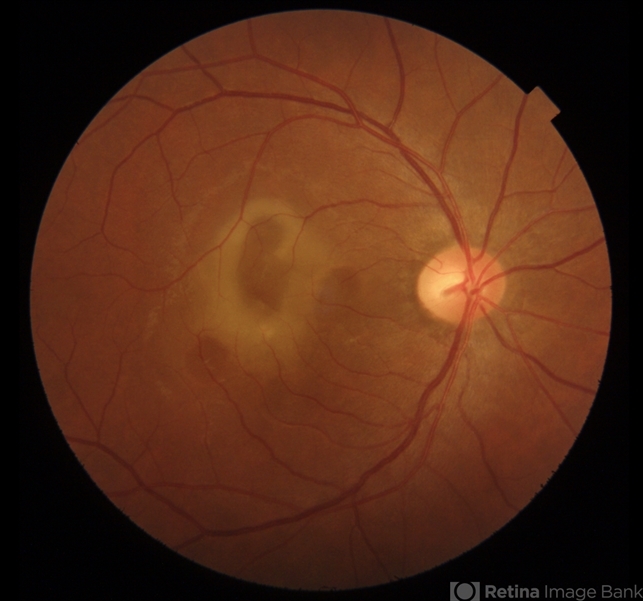
- CSCR with SubRetinal Fibrin
- Condition/keywords
- central serous chorioretinopathy (CSCR), subretinal fibrin deposition
- Photographer
- Puttaswamy
- Imaging device
- Fundus camera
- Description
- 43 year old gentleman with a chronic central serous chorioretinopathy with sub retinal fibrin deposition.

Initializing download.