-
By Akansha Sharma
Co-author(s): Dr. Urmil Shah, Bharati Eye Hospital - Uploaded on Jan 30, 2024.
- Last modified by Joshua Friedman on Jan 30, 2024.
- Rating
- Appears in
- Miscellaneous
- Condition/keywords
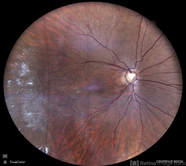
- familial exudative vitreoretinopathy (FEVR), REGRESSED ROP
- Photographer
- Dr. Akansha Sharma, Bharati Eye Hospital
- Imaging device
- Scanning laser ophthalmoscope
- Description
- Colour fundus photograph of a 19 year old male with both eyes familial exudative vitreo-retinopathy. Right eye shows peripheral avasular areas.

Initializing download.