-
By Virginia Gebhart
Retina Consultants of Carolina - Uploaded on Jan 12, 2024.
- Last modified by Joshua Friedman on Jan 16, 2024.
- Rating
- Appears in
- Miscellaneous
- Condition/keywords
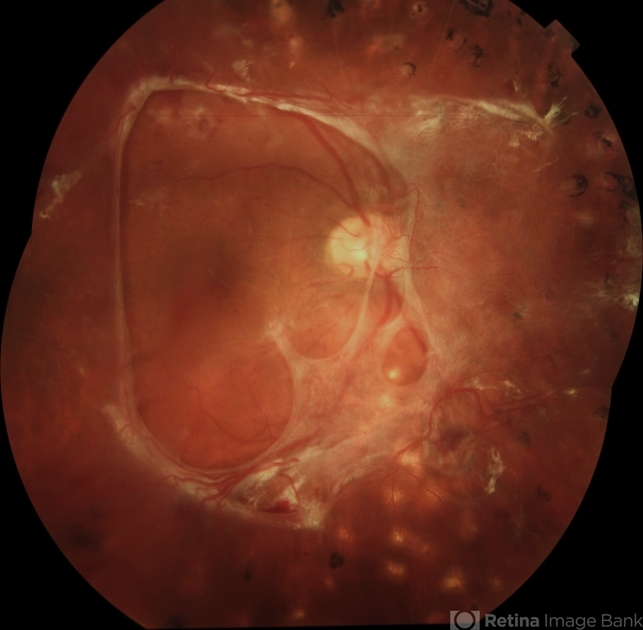
- ERM, epiretinal membrane, macular pseudohole, fibrosis, neovascularization (NV)
- Photographer
- Virginia Gebhart
- Imaging device
-
Fundus camera
Topcon 50DX - Description
- 53 year old diabetic male with significant persistent ERM due to fibrotic NV superiorly. Possibly developing a tractional MH. Vitreous Hemorrhage secondary to traction on the fibrosis

Initializing download.