-
By Daniel Davis, OCT-C
The Retina Institute, St. Louis - Uploaded on Nov 29, 2023.
- Last modified by Joshua Friedman on Nov 29, 2023.
- Rating
- Appears in
- Miscellaneous
- Condition/keywords
- blue reflectance
- Photographer
- Daniel Davis, OCT-C
- Imaging device
-
Optical coherence tomography system
Heidelberg Spectralis - Description
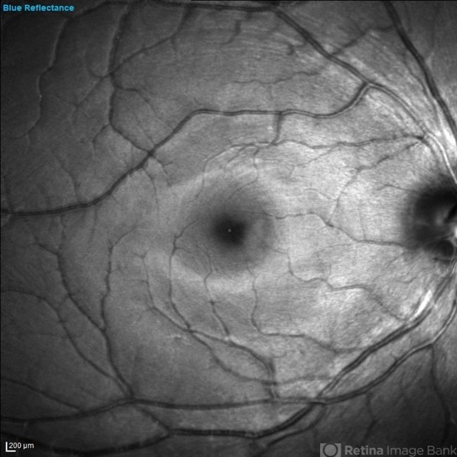
- Blue reflectance image of a 30 yo female with PAMM OD.

Initializing download.