-
By Mallika Goyal, MD
Apollo Health City
Co-author(s): Sridhar A, MD - Uploaded on Dec 8, 2013.
- Last modified by Caroline Bozell on Dec 9, 2013.
- Rating
- Appears in
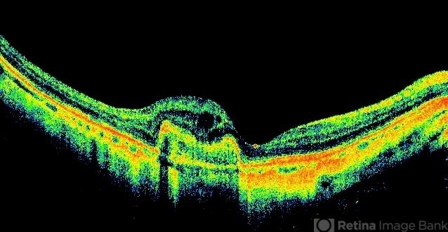
- Myopia associated CNVM
- Condition/keywords
- myopia, optical coherence tomography (OCT)
- Photographer
- Mallika Goyal, MD, Apollo Health City, Hyderabad, India
- Imaging device
- Fundus camera
- Description
- OCT of right eye of a 38-year-old high myope shows regressing CNVM and resolving fluid on anti-VEGF therapy.

Initializing download.