
File number: 122926
Comments
-
Manish Nagpal, MD, FRCS (UK), FASRS (November 23 2023)
fantastic image
Sign in to comment.
-
By Mauricio Bayram-Suverza, MD
Hospital Nuestra SeƱora de la Luz - Uploaded on Sep 26, 2023.
- Last modified by Joshua Friedman on Feb 22, 2024.
- Image of the week
-
Feb 25, 2024
View all images of the week - Rating
- Appears in
- Miscellaneous
- Condition/keywords
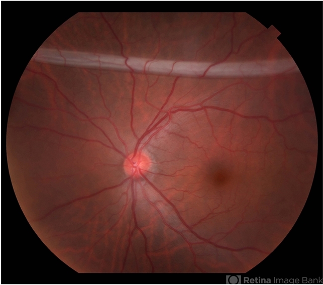
- Retinal slippage, giant retinal tear, vitreoretinal surgery, retina surgery complications
- Photographer
- Mauricio Bayram-Suverza, Fundación Hospital Nuestra Señora de la Luz
- Imaging device
-
Fundus camera
TRC-50DX - Description
- A 38-year-old man underwent vitrectomy in the left eye due to a giant tear in the upper retina. SF6 gas was used as endotamponade. During the post-surgical check-up, it was identified that the patient developed a full-thickness retinal fold due to retinal slippage during fluid-air exchange. As the fold was away from the macular area, it was decided to observe the patient. Three weeks after the surgery, his best-corrected visual acuity was 20/30.