-
By Mallika Goyal, MD
Apollo Health City
Co-author(s): Sridhar A, MD - Uploaded on Dec 3, 2013.
- Last modified by Caroline Bozell on Dec 4, 2013.
- Rating
- Appears in
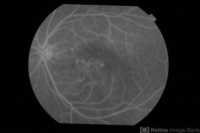
- CSCR subfoveal leak
- Condition/keywords
- CSCR subfoveal leak
- Photographer
- Mallika Goyal, MD, Apollo Hospitals, Hyderabad, India
- Imaging device
- Fundus camera
- Description
- 52-year-old male with left eye CSCR of 6 months duration. Early phase fluorescein angiogram shows multiple leaks including a sub-foveal one. He was treated with PDT with complete resolution of fluid.

Initializing download.