-
By Annaka Gooding
Co-author(s): Gregory Bever, MD - Uploaded on Sep 7, 2023.
- Last modified by Joshua Friedman on Sep 8, 2023.
- Rating
- Appears in
- Miscellaneous
- Condition/keywords
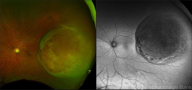
- choroidal tumor, OPTOS CALIFORNIA, serous retinal detachment, fundus photography, autofluorescence imaging
- Photographer
- Annaka Gooding
- Imaging device
-
Scanning laser ophthalmoscope
Optos California - Description
- Ultra-Widefield pseudo-color and autofluorescence imaging of a 59 year old male with Choroidal Melanoma affecting his left eye. Patient reported floaters OS for months prior to examination as well as 1-2 weeks of "tunnel vision". Patient denies personal history of cancer. Patient's vision at time of examination was CF@5FT. Due to the Tumor size, the patient has developed a serous retina detachment in their inferior retina

Initializing download.