-
By Anjana Mirajkar, MS Ophthalmology
Retina eye foundation
Co-author(s): Dr.Manish Nagpal-Retina Foundation, Ahmedabad . - Uploaded on Aug 6, 2023.
- Last modified by Joshua Friedman on Aug 7, 2023.
- Rating
- Appears in
- Miscellaneous
- Condition/keywords
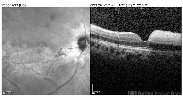
- central retinal artery occlusion (CRAO)
- Photographer
- Dr. Anjana Mirajkar -Retina Foundation, Ahmedabad
- Imaging device
- Optical coherence tomography system
- Description
- OCT image (Vertical scan ) of RE of a 42 year old male in a case of central artery occlusion with cilio retinal artery sparing showing loss of differentiation of retinal layers in nasal half.

Initializing download.