-
By Hamid Ahmadieh, MD
Labbafinejad Medical Center
Co-author(s): Ramin Nourinia , MD - Uploaded on Nov 14, 2013.
- Last modified by Hamid Ahmadieh, MD on Nov 15, 2013.
- Rating
- Appears in
- Miscellaneous
- Condition/keywords
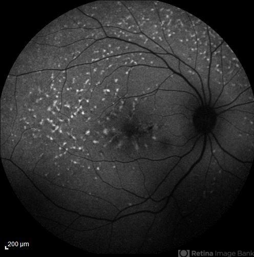
- fundus flavimaculatus, retinal flecks, choroidal neovascularization (CNV), fundus autofluorescence (FAF)
- Photographer
- Nayereh Hadipour, Negah Eye Center, Tehran
- Imaging device
- Fundus camera
- Description
- FAF image of the right eye of a 35-year-old woman with subfoveal CNV secondary to fundus flavimaculatus .

Initializing download.