-
By Maria Ana Martinez-Castellanos, MD
Asociacion para Evitar la Ceguera en Mexico - Uploaded on Nov 3, 2013.
- Last modified by Caroline Bozell on Nov 4, 2013.
- Rating
- Appears in
- Miscellaneous
- Condition/keywords
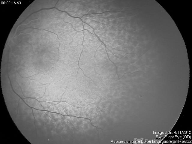
- retinopathy of prematurity (ROP), choriocapillaris
- Photographer
- Maria A. Martinez-Castellanos. Asociacion para Evitar la Ceguera en Mexico
- Imaging device
-
Fundus camera
RetCam II - Description
- Lobular choroidal filling in a baby with stage 1 ROP, the macular area has a different filling pattern that the rest of the retina.

Initializing download.