-
By Maurice F. Rabb
From the collection of Maurice F. Rabb, M.D. - Uploaded on Oct 31, 2013.
- Rating
- Appears in
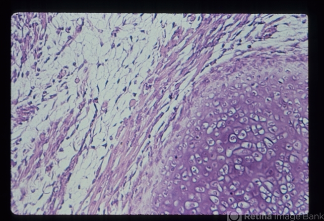
- Intraocular Teratoid Medulloepithelioma
- Condition/keywords
- intraocular teratoid medulloepithelioma
- Description
- A three week old white girl with intraocular teratoid medulloepithelioma.

Initializing download.