-
By Maneesh M Bapaye, MD, MBA
Dr. Bapaye Hospital - Uploaded on Jun 28, 2023.
- Last modified by Joshua Friedman on Jun 29, 2023.
- Rating
- Appears in
- Miscellaneous
- Condition/keywords
- CRAO, cilioretinal sparing, multimodal imaging
- Photographer
- Maneesh Bapaye
- Description
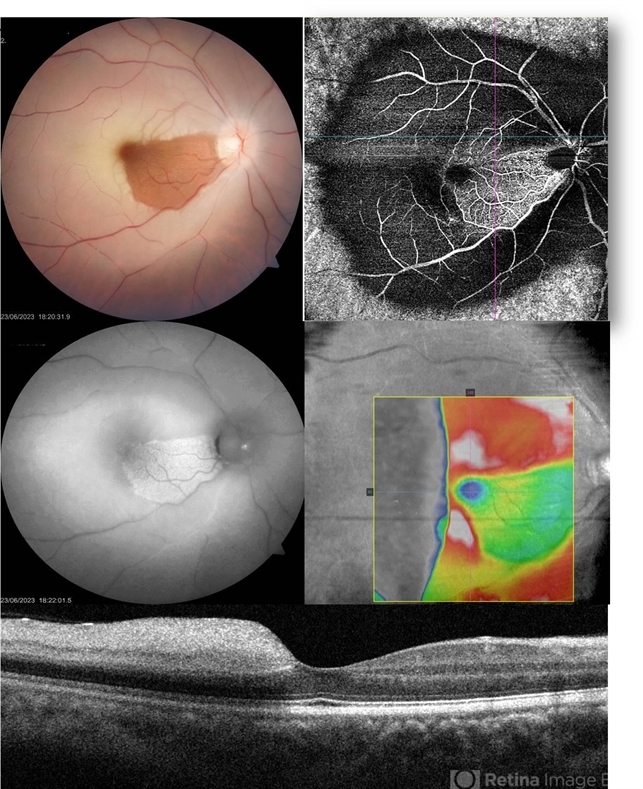
- A 34 year old male patient presented with sudden onset vision loss of 1 week duration. Visual acuity at presentation was 20/200. Fundus examination revealed diffuse retinal whitening with sparing of papillomacular bundle and fovea due to patent cilioretinal artery. Autofluorescence shows peripheral hypoAF, patent capillaries can be seen only in area of cilioretinal supply, OCT shows thickening of inner retinal layers temporal to fovea Systemic examination revealed that patient had valvular heart disease with multiple valves involved.

Initializing download.