-
By Annaka Gooding
Co-author(s): Scott Westhouse, MD - Uploaded on May 25, 2023.
- Last modified by Joshua Friedman on May 26, 2023.
- Rating
- Appears in
- Miscellaneous
- Condition/keywords
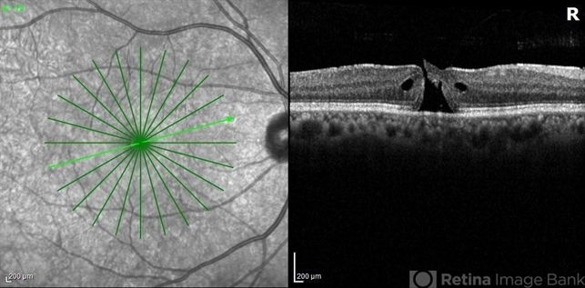
- OCT, macular hole
- Photographer
- Annaka Gooding
- Imaging device
-
Optical coherence tomography system
Heidelberg Spectralis - Description
- Optical Coherence Tomography of a 69 year old male with a Macular Hole affecting his right eye. Patient presented at the clinic following visual distortion that had been ongoing for two weeks. Patients vision was Dcc20/200 PHNI. The Physician recommended Pars Plana Vitrectomy/ Membrane Peel Surgery.

Initializing download.