-
By Maurice F. Rabb
From the collection of Maurice F. Rabb, M.D. - Uploaded on Oct 11, 2013.
- Rating
- Appears in
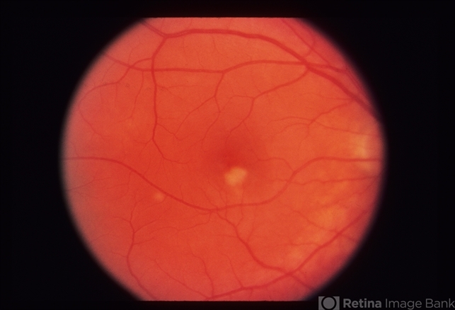
- Idiopathic Choroidal Neovasculization
- Condition/keywords
- idiopathic choroidal neovasculization (CNV)
- Description
- A thirty three year old man developed an idiopathic CNV in the right eye; the CNV was treated with Argon laser photocoagulation. The CNV recurred and was retreated two times. The CNV recurred a third time. At this time it was in a subfoveal location. The visual acuity was reduced to 20/100 (the presenting visual acuity was 20/20).

Initializing download.