
File number: 110243
Comments
-
Niloofar Piri, MD (October 22 2023)
This is a great capture!
-
Harold Rodriguez (July 18 2023)
Thank you so much Dr. Nagpal!
-
Manish Nagpal, MD, FRCS (UK), FASRS (July 18 2023)
excellent capture
Sign in to comment.
-
By Harold Rodriguez
Eye Care Medical Group - Uploaded on Mar 28, 2023.
- Last modified by Joshua Friedman on Oct 19, 2023.
- Image of the week
-
Oct 22, 2023
View all images of the week - Rating
- Appears in
- Miscellaneous
- Condition/keywords
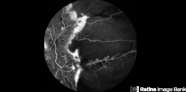
- proliferative retinopathy
- Photographer
- Harold Rodriguez
- Imaging device
- Optical coherence tomography system
- Description
- Fluorescein Angiogram on a 43 Year Old female with Proliferative Retinopathy.