-
By Anfisa Ayalon, MD
McGill University
Co-author(s): Boris Rosin, MD, PhD; Gabrielle R. Bonhomme, MD; University of Pittsburgh Medical Center - Uploaded on Mar 14, 2023.
- Last modified by Anfisa Ayalon, MD on Apr 26, 2023.
- Rating
- Appears in
- Miscellaneous
- Condition/keywords
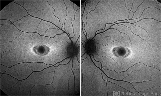
- retina, maculopathy, bull's eye maculopathy
- Photographer
- Danielle Ferguson and Alec Bertoni, University of Pittsburgh Medical Center
- Description
- Both eyes fundus autofluorescence image of a 38-year-old female with “Bull's eye” pattern maculopathy. There is no history of medication use associated with retinal toxicity. BCVA RE 20/25+2, LE 20/20-3

Initializing download.