-
By Corey Grant
Retina Specialist of Michigan
Co-author(s): Nathan Pezda, M.D. - Uploaded on Mar 2, 2023.
- Last modified by Joshua Friedman on Mar 6, 2023.
- Rating
- Appears in
- Miscellaneous
- Condition/keywords
- choroidal neovascularization (CNV), CNVM, OCT, Right Eye, Optos, ultra-wide field imaging, fundus photograph, optical coherence tomography (OCT)
- Photographer
- Corey Grant
- Imaging device
-
Scanning laser ophthalmoscope
Heidelberg Spectralis, OPTOS California - Description
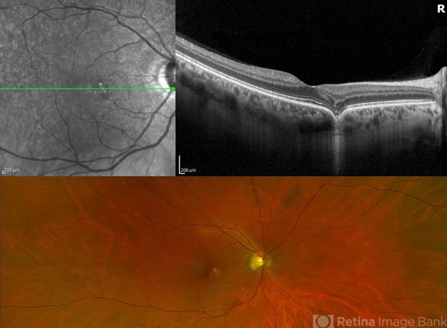
- Optical coherence tomography and ultra-wide field fundus photograph of a 51 year old male with idiopathic choroidal neovascularization affecting his right eye. The patient had no symptoms at the time of the appointment and his vision was Dcc20/20-2 OU. The physcian stated that there wasn't active exudation on the exam or ocular imaging and based on the clinical findings, he has recommended we defer any treatments.

Initializing download.