- 
            
             By Anjana Mirajkar, MS Ophthalmology By Anjana Mirajkar, MS Ophthalmology
 Retina eye foundation
 Co-author(s): Dr.Manish Nagpal-Retina Foundation, Ahmedabad.
- Uploaded on Jan 28, 2023.
- Last modified by Joshua Friedman on Jan 31, 2023.
- Rating
- Appears in
- Miscellaneous
- Condition/keywords
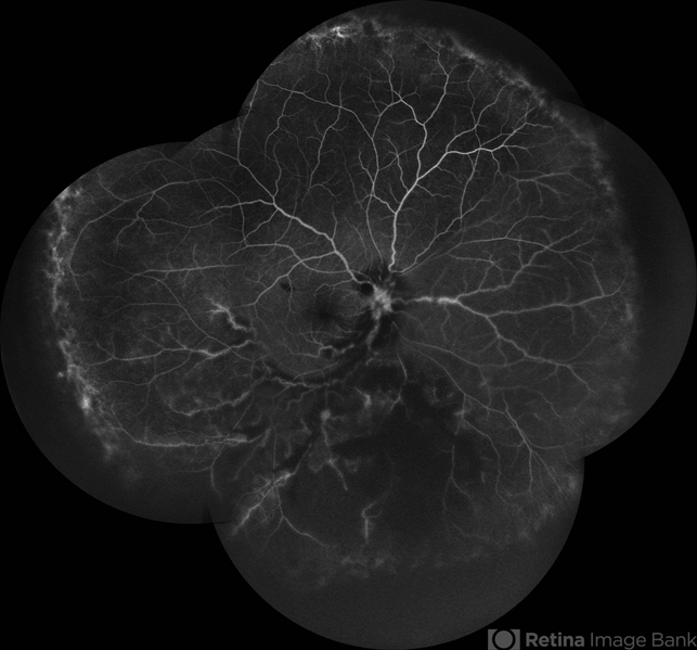
- occlusive retinal vasculitis
- Photographer
- Dr. Anjana Mirajkar -Retina Foundation, Ahmedabad
- Imaging device
- Scanning laser ophthalmoscope
- Description
- Wide field FA image of RE of a 40 year old female a case of occlusive retinal vasculitis.

 
        
 Initializing download.
                Initializing download. 
             
             
             
             
             
             
             
             
             
             
            