- 
            
             By Vishal Agrawal, MD, FRCS,FACS,FASRS By Vishal Agrawal, MD, FRCS,FACS,FASRS
 Agrawal Hospital , Jaipur
- Uploaded on Jan 14, 2023.
- Last modified by Joshua Friedman on Jan 16, 2023.
- Rating
- Appears in
- Miscellaneous
- Condition/keywords
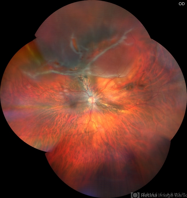
- Stickler Syndrome, Retinal Detachment
- Photographer
- Pankaj
- Imaging device
- CLARUS 700
- Description
- 30 year old female with stickler syndrome and subtotal retinal detachment . Fundus pic shows radial para vascular lattices with multiple breaks .

 
        
 Initializing download.
                Initializing download. 
            ---thumb.jpg/image-square;max$79,0.ImageHandler) 
             
             
             
             
             
             
             
             
             
            