-
By Shobhit Chawla, M.S.
EYE-Q PNK EYE HOSPITALS
Co-author(s): Samriddhi Akansha - Uploaded on Jan 3, 2023.
- Last modified by Joshua Friedman on Jan 4, 2023.
- Rating
- Appears in
- Miscellaneous
- Condition/keywords
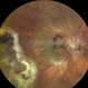
- RETINOSCHISIS
- Photographer
- Shobhit Chawla
- Imaging device
-
Scanning laser ophthalmoscope
ZeissClarus500 - Description
- Retinoschisis with Retinal detachment

Initializing download.