- 
            
             By Hamid Ahmadieh, MD By Hamid Ahmadieh, MD
 Labbafinejad Medical Center
- Uploaded on Oct 6, 2012.
- Last modified by Hamid Ahmadieh, MD on Jan 15, 2014.
- Rating
- Appears in
- Miscellaneous
- Condition/keywords
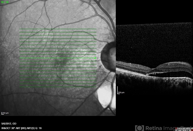
- coloboma of optic disc, coloboma of choroid, optical coherence tomography (OCT), serous retinal detachment
- Photographer
- Hamid Ahmadieh, MD, Ophthalmic Research Center, Labbafinejad Medical Center, Shahid Beheshti University of Medical Sciences
- Imaging device
- Heidelberg Spectralis
- Description
- OCT image of a 25-year-old woman with serous retinal detachment secondary to coloboma of disc associated with coloboma of choroid.

 
        
 Initializing download.
                Initializing download. 
             
             
             
             
             
             
             
             
             
             
            