-
By Ronald C. Gentile, MD
The New York Eye and Ear Infirmary of Mount Sinai - Uploaded on Oct 5, 2012.
- Last modified by Ronald C. Gentile, MD on Oct 21, 2012.
- Reviewed by Jennifer Hicks
- Rating
- Appears in
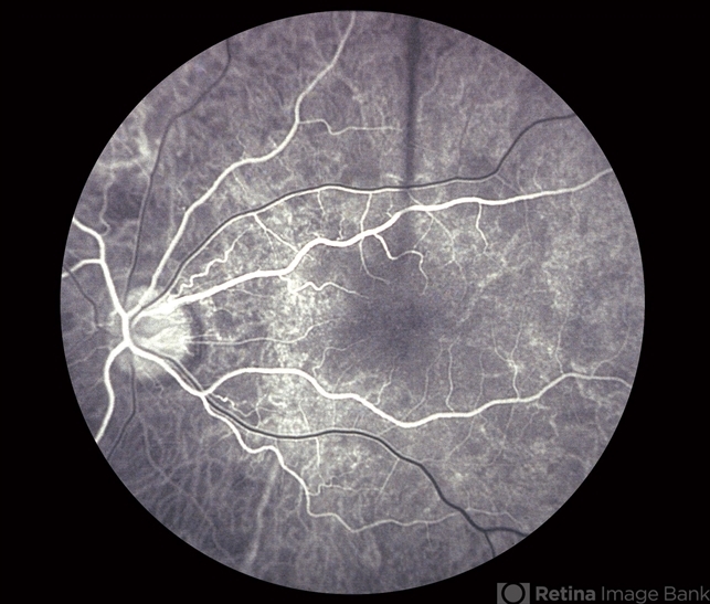
- Choroidal Osteoma
- Condition/keywords
- macular choroidal osteoma
- Photographer
- The New York Eye & Ear Infirmary Department of Medical Imaging
- Imaging device
- Fundus camera
- Description
- Fluorescein angiography of the macular choroidal osteoma in the early arterial-venous phase highlighting its internal vascularity.

Initializing download.