
File number: 102970
Comments
-
Manish Nagpal, MD, FRCS (UK), FASRS (March 24 2023)
excellent photo
-
Heitor Nogueira (November 28 2022)
Nice picture ????
Sign in to comment.
-
By Ricardo Leitão Guerra
Clínica de Olhos Leitão Guerra
Co-author(s): Cezar Leitão Guerra and Bernardo Leitão Guerra - Leitão Guerra Oftalmologia, Salvador - Brasil - Uploaded on Nov 22, 2022.
- Last modified by Joshua Friedman on Jul 19, 2023.
- Image of the week
-
Jul 23, 2023
View all images of the week - Rating
- Appears in
- Miscellaneous
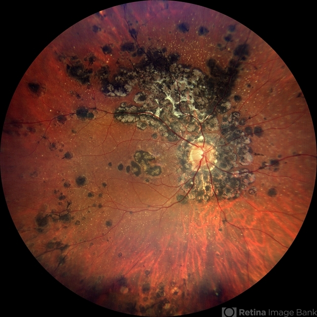
- Condition/keywords
- tuberculosis, serpiginous choroiditis
- Photographer
- Ricardo Leitão Guerra
- Imaging device
-
Scanning laser ophthalmoscope
Zeiss Clarus 700 - Description
- True color BLFI of a 60-year-old male presenting chorioretinal scars from a tuberculosis-related serpiginous-like choroiditis.