-
By Howard Schatz, MD
- Uploaded on Sep 16, 2013.
- Rating
- Appears in
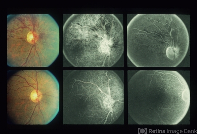
- Branch Vein Occlusion
- Condition/keywords
- branch vein occlusion (BVO)
- Description
- Fifty eight year old african male, right eye 20/40, left eye 20/30.

Initializing download.