-
By Anjana Mirajkar, MS Ophthalmology
Retina eye foundation
Co-author(s): Dr.Manish Nagpal-Retina Foundation, Ahmedabad ,Dr. Akansha Sharma-Retina Foundation , Ahmedabad ,Dr.Vaidehi Sathaye -Retina Foundation , Ahmedabad, Dr. Pramod Suman -Retina Foundation , Ahmedabad. - Uploaded on Oct 23, 2022.
- Last modified by Anjana Mirajkar, MS Ophthalmology on Dec 11, 2022.
- Rating
- Appears in
- Miscellaneous
- Condition/keywords
- Photographer
- Dr. Anjana Mirajkar -Retina Foundation, Ahmedabad
- Imaging device
- Scanning laser ophthalmoscope
- Description
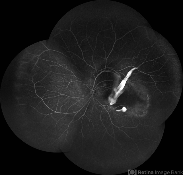
- Montage of Fluorescein angiography in a of 61 year old male with RPE rip in a case of Idiopathic Polypoidal Choroidopathy.

Initializing download.