Search results (47 results)
-
Bear Tracks
Apr 27 2018 by Giselle DeOliveira
Fundus Montage photograph of 13-year-old girl.
Photographer: Giselle DeOliveira, University of Miami , Bascom Palmer Eye Institute
Condition/keywords: bear tracks
-
Bear Tracks
Nov 10 2020 by Ronald Coriasso
Fundus photo of 68-year-old female with history of plaquenil use. Her findings are most consistent with bear tracks, however these kinds of lesions can be indicative of familial adenomatous polyposis (FAP).
Photographer: Ronald Coriasso
Imaging device: OPTOS
Condition/keywords: bear tracks, familial adenomatous polyposis
-
Bear Tracks
May 14 2021 by Ronald Coriasso
Bear tracks
Photographer: Ronald Coriasso, Retina Specialist of Michigan
Condition/keywords: bear tracks
-
Bear Track CHRPE OS
Jan 15 2021 by Brad Lovelace
Fundus photograph of a 24-year-old male with congenital retina pigment epithelial hypertrophy (bear tracks) OS.
Photographer: Brad Lovelace, COT, Retina Consultants of Southern Colorado, Colorado Springs
Imaging device: Optos California
Condition/keywords: bear tracks, congenital hypertrophy of the retinal pigment epithelium (CHRPE)
-
Bear Tracks
May 14 2021 by Ronald Coriasso
Bear tracks
Photographer: Ronald Coriasso, Retina Specialist of Michigan
Condition/keywords: bear tracks
-
Bear Tracks (CHRPE)
Jun 4 2025 by Paulina Araujo
The 55-degree fundus photograph of the left eye shows bear tracks along the inferior temporal arcade.
Photographer: Paulina D.Araujo Martínez, Asociación para Evitar la Ceguera en México I.A.P., Hospital Dr Luis Sánchez Bulnes.
Condition/keywords: bear tracks, congenital hypertrophy of the retinal pigment epithelium (CHRPE)
-
Congenital Hypertrophy of RPE: "Bear Tracks"
Aug 5 2021 by Niloofar Piri, MD
Ultrawide field fundus photograph of a 79-year-old patient who was incidentally found to have extensive bear track lesions in both eyes. Left eye was treated for NVG in the past and bear tracks were only visible temporal to the macula where there was no laser scars. He was referred to be seen by gastroenterologist and have a colonoscopy given high association with FAP and Gardner's syndrome.
Photographer: Jacob Grodsky, MD, St. Louis University
Condition/keywords: bear tracks, congenital hypertrophy of the retinal pigment epithelium (CHRPE)
-
RPE Hypertrophy
Mar 29 2013 by Henry J. Kaplan, MD
Typical bear tracks in RPE hypertrophy.
Condition/keywords: retinal pigment epithelium (RPE) hypertrophy
-
Bear Tracks
Dec 31 2012 by Raj K. Maturi, MD
Photographer: Tom Steele, CRA Midwest Eye Institute Indianapolis, Indiana
Imaging device: Topcon 50ex 50 degree field
Condition/keywords: bear tracks, benign pigmented lesions, congenital hypertrophy of the retinal pigment epithelium (CHRPE), OD
-
Bear Tracks, CHRPE
Oct 12 2017 by Theodore Leng, MD, MS, FASRS
Bear Tracks, CHRPE
Condition/keywords: bear tracks, congenital hypertrophy of the retinal pigment epithelium (CHRPE)
-
CHRPE - grouped pigmentation
Jan 11 2013 by Alex P. Hunyor, MD
Congenital grouped pigmentation of the RPE ("bear tracks").
Condition/keywords: bear tracks, congenital hypertrophy of the retinal pigment epithelium (CHRPE)
-
Congenital Hypertrophy of the Retinal Pigment Epithelium
Nov 11 2019 by Jessica Norkus
Bilateral Optos ultra wide field imaging of a 31-year-old female patient with CHRPE lesions. Lesions in OD were suspicious of Gardner Syndrome due to familial history of cancerous polyps in colon. Patient underwent colonoscopy and was deemed clear.
Photographer: Jessica Norkus, COA, Retina Specialists of Michigan
Imaging device: Optos Ultra Wide Field Camera
Condition/keywords: bear tracks, bilateral, color fundus photograph, color photo, congenital hypertrophy of the retinal pigment epithelium (CHRPE), fundus autofluorescence (FAF), fundus photograph, lacunae, macula, optic disc, Optos, pseudocolor, ultra-wide field imaging
-
Bear Tracks
-
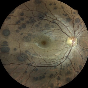
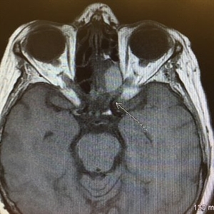
Acute Compressive Optic Neuropathy
Jun 1 2019 by John S. King, MD
84-year-old white female with acute loss of vision in the left eye one day ago was sent here after going to the ED per primary eye provider. She described vision loss as a grey curtain that became total darkness. She had left sided temporal tenderness and some left sided neck pain. In the ED the cardiac work-up was u/r, the ESR and CRP were normal, and the CTH showed some non-specific opacification in the L ethmoid sinus. Acuity was HM OS with RAPD, normal EOMs, no proptosis or ptosis, posteriorly no SVPs were noted; the optic discs were pink and flat; no emboli or retinal whitening present; some bear tracks located nasally (see photo). She was referred to Dr. Doyle, who ordered an MRI, which showed a large mucocele with bony erosion into the left orbit, along with some ON enhancement possibly from compression (see images). She was operated that night and later recovered to 20/40 in that eye with a residual, inferior arcuate scotoma.
Condition/keywords: bear tracks, optic neuropathy
-
Acute Optic Neuropathy Due to Large Mucocele
Jun 1 2019 by John S. King, MD
84-year-old white female with acute loss of vision in the left eye one day ago was sent here after going to the ED per primary eye provider. She described vision loss as a grey curtain that became total darkness. She had left sided temporal tenderness and some left sided neck pain. In the ED the cardiac work-up was u/r, the ESR and CRP were normal, and the CTH showed some non-specific opacification in the L ethmoid sinus. Acuity was HM OS with RAPD, normal EOMs, no proptosis or ptosis, posteriorly no SVPs were noted; the optic discs were pink and flat; no emboli or retinal whitening present; some bear tracks located nasally (see photo). She was referred to Dr. Doyle, who ordered an MRI, which showed a large mucocele with bony erosion into the left orbit, along with some ON enhancement possibly from compression (see Images). She was operated that night and later recovered to 20/40 in that eye with a residual, inferior arcuate scotoma.
Condition/keywords: bear tracks, optic neuropathy
-
Acute Optic Neuropathy Due to Large Mucocele (Incidental Bear Tracks)
Jun 1 2019 by John S. King, MD
84-year-old white female with acute loss of vision in the left eye one day ago was sent here after going to the ED per primary eye provider. She described vision loss as a grey curtain that became total darkness. She had left sided temporal tenderness and some left sided neck pain. In the ED the cardiac work-up was u/r, the ESR and CRP were normal, and the CTH showed some non-specific opacification in the L ethmoid sinus. Acuity was HM OS with RAPD, normal EOMs, no proptosis or ptosis, posteriorly no SVPs were noted; the optic discs were pink and flat; no emboli or retinal whitening present; some bear tracks located nasally (see photo). She was referred to Dr. Doyle, who ordered an MRI, which showed a large mucocele with bony erosion into the left orbit, along with some ON enhancement possibly from compression (see images). She was operated that night and later recovered to 20/40 in that eye with a residual, inferior arcuate scotoma.
Photographer: Karin Aletter
Imaging device: Topcon 50
Condition/keywords: bear tracks, optic neuropathy
-
Amelanotic Bear Tracks of the Retina
Jan 13 2020 by Sophia El Hamichi, MD
Fundus photograph of a 5-year-old patient with amelanotic bear tracks of the retina OD. No family history of colon cancer reported.
Photographer: Abby Orcutt-Hayes, Murray Ocular Oncology and Retina
Condition/keywords: amelanotic, bear tracks, congenital hypertrophy of the retinal pigment epithelium (CHRPE), pediatic retina
-
Bear Track Lesions in a Case of Congenital Hypertrophy of RPE
Sep 6 2024 by Giriraj Vibhute
Fundus photo and autofluorescence image in a 58-year-old woman A&B: Right and left eye ultrawidefield pseudocolor imaging in case of congenital hypertrophy of RPE. C&D: Fundus autofluorescence of right and left eye of the same patient. The patient/ family members did not have any history of colon cancer. Patient was advised colonoscopy and family members were screened.
Photographer: Giriraj Vibhute, dept of retina, M M Joshi eye institute, Hubli. India
Imaging device: Optos daytona
Condition/keywords: bear tracks, congenital hypertrophy of the retinal pigment epithelium (CHRPE)
-
Bear Tracks
Jul 14 2013 by Jason S. Calhoun
Dark pigment spots or "bear tracks" temporally in the right eye.
Photographer: Jason S. Calhoun, Department of Ophthalmology, Mayo Clinic Jacksonville, Florida
Imaging device: TOPCON TRC 50-EX
Condition/keywords: bear tracks
-
Bear Tracks
Jul 14 2013 by Jason S. Calhoun
Pigmented bear tracks found temporally in the left eye.
Photographer: Jason S. Calhoun, Department of Ophthalmology, Mayo Clinic Jacksonville, Florida
Imaging device: TOPCON TRC 50-EX
Condition/keywords: bear tracks
-
Bear Tracks
Dec 27 2016 by Elad Moisseiev, MD
A 34-year-old man with bear tracks noted on routine exam. There was no personal or family history of Gardner syndrome or any GI malignancy.
Photographer: Galit Yair-Pur
Condition/keywords: bear tracks
-
Bear Tracks
Apr 28 2018 by xiangbin kong
Fundus photograph of an 24-year-old woman with bear tracks.
Photographer: Yawei Dong
Imaging device: Topcon
Condition/keywords: bear tracks
-
Bear Tracks
Apr 28 2018 by xiangbin kong
Fundus photograph of an 24-year-old woman with bear tracks.
Photographer: Yawei Dong
Imaging device: Topcon
Condition/keywords: bear tracks
-
Bear Tracks
Aug 27 2016 by Hua Gao, MD, PhD, FASRS
Fundus photograph of an 18-year-old girl with many bear track pigmentation lesions in her right eye.
Condition/keywords: bear tracks
-
Bear Tracks

Loading…