- 
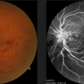
     Inferior Hemi-Retinal Vein Occlusion Inferior Hemi-Retinal Vein OcclusionJan 7 2024 by MEENAL SONI A middle aged man presented to our OPD with sudden DOV in LE since 2 days. There was no history of any systemic illness. On fundus examination of LE we found dilated tortuous veins on inferior half of retina and multiple superficial retinal haemorrhages with corresponding disc margin blurring, elevation and macular oedema suggestive of inferior hemi-retinal vein occlusion with macular oedema. On fluorescein angiography there was corresponding blocked fluorescence, dilated tortuous veins and capillary non perfusion areas. Photographer: Dr. Meenal Soni, Fellow VR, ASG eye Hospital Jodhpur Imaging device: Visucam Condition/keywords: cystoid macular edema (CME), HRVO 
