- 
     Myopic Choroidal Neovascular Membrane Myopic Choroidal Neovascular MembraneMar 25 2013 by Ratimir Lazic, MD, PhD Color fundus photography of a 33-year-old female. In macular area subretinal hemorrhage can be seen. Area of atrophy temporal from PNO. Myopic changes of posterior pole and mid periphery can be noticed. The patient has been treated with 2 consecutive ranibizumab intravitreal injections. BCVA at baseline was 0,05 (Snellen lines) and 0,3 (Snellen lines) 2 months after. Photographer: Marko Lukic, MD Imaging device: Zeis Visucam Lite 2 Condition/keywords: high myopia, myopic choroidal neovascularization (CNV), ranibizumab 
- 
     Myopic Choroidal Neovascular Membrane Myopic Choroidal Neovascular MembraneMar 25 2013 by Ratimir Lazic, MD, PhD FAG image of a 33-year-old female. In foveolar region leakage of dye can be noticed. The patient is high myopic and has decreased visual acuity. Photographer: Marko Lukic, MD Imaging device: Zeis Visucam Lite 2 Condition/keywords: choroidal neovascularization (CNV) 
- 
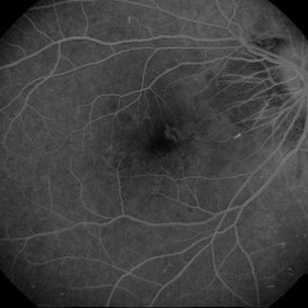
     Myopic Choroidal Neovascular Membrane Myopic Choroidal Neovascular MembraneMar 25 2013 by Ratimir Lazic, MD, PhD FAG image of a 33-year-old female. In foveolar region formed classic neovascular membrane can be noticed. The patient is high myopic and has decreased visual acuity. Photographer: Marko Lukic, MD Imaging device: Zeis Visucam Lite 2 Condition/keywords: choroidal neovascularization (CNV) 
