-
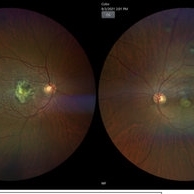
A rare case of a 45-year-old male with choroidal neovascular membrane in Familial Dominant Drusen (Doyne Honeycomb Drusen) in both eyes treated with intravitreal injections.
Nov 30 2022 by SHRADDHA ASHOK CHANDORKAR, DNB DO FVRS
A 45-year-old man presented with diminution of vision in both eyes with metamorphopsia, which was painless and gradually progressive in nature. BCVA at presentation were 6/40 and 6/36 for the right and left eye respectively. Anterior segment examination of both eyes was unremarkable. IOP were within normal limits. Fundus examination showed bilateral numerous yellowish white round closely spaced lesions extending radially from the vascular arcades till the periphery associated with an elevated grayish macular choroidal neovascular membrane (CNV) with multiple drusen in the macular area and posterior pole. Impression was Familial Dominant Drusen (Doyne Honeycomb Drusen) associated with CNVM, both eyes. Color fundus photograph and autofluorescence showed Familial Dominant Drusen with CNVM. Subsequently , the patient underwent periodic intravitreal injections of Ranibizumab in both eyes under guarded visual prognosis, for which he tolerated well.
Photographer: NATIONAL INSTITUTE OF OPHTHALMOLOGY, PUNE
Imaging device: ZEISS CLARUS
Condition/keywords: choroidal neovascular membrane (CNVM), Doyne's Honeycomb, FAMILIAL DOMINANT DRUSEN, IMIM (Online Mendelian Inheritance in Man), intravitreal injection, Malattia Leventinese
-
Subhyaloid Hemorrhage
Jul 12 2025 by SHRADDHA ASHOK CHANDORKAR, DNB DO FVRS
19 year old female presented with sudden blurring of vision in her right eye since few hours after she attended a DJ party the previous night. On examination Vision was counting fingers close to face and Retina showed Subhyaloid hemorrhage with some RPE damage. YAG hyaloidotomy was performed and the subhyaloid hemorrhage was drained. Need for injections if RPE damage and development of CNV in future was explained. Patient was apprehensive as the vision was not restored immediately after the blood was drained. On subsequent follow ups slowly patient’s vision was restored to 6/6N6 after about a month.
Photographer: Dr.Shraddha Chandorkar
Imaging device: Zeiss
Condition/keywords: subhyaloid hemorrhage
-
Subhyaloid Hemorrhage
Jul 14 2025 by SHRADDHA ASHOK CHANDORKAR, DNB DO FVRS
19 year old female presented with sudden blurring of vision in her right eye since few hours after she attended a DJ party the previous night. On examination Vision was counting fingers close to face and Retina showed Subhyaloid hemorrhage with some RPE damage. YAG hyaloidotomy was performed and the subhyaloid hemorrhage was drained. Need for injections if RPE damage and development of CNV in future was explained. Patient was apprehensive as the vision was not restored immediately after the blood was drained. On subsequent follow ups slowly patient’s vision was restored to 6/6N6 after about a month.
Condition/keywords: subhyaloid hemorrhage
-
Optic Disc Melanocytoma USG Measurements
Aug 5 2025 by SHRADDHA ASHOK CHANDORKAR, DNB DO FVRS
B Scan showing measurements of mass in a case of optic nerve melanocytoma.
Photographer: Dr.Shraddha A Chandorkar
Condition/keywords: b scan
-
Optic Disc Melanocytoma Hyperpigmented Magnocellular Nevus of the Optic Disk (HMNOD)
Aug 5 2025 by SHRADDHA ASHOK CHANDORKAR, DNB DO FVRS
OCT DISC image of a case of optic nerve melanocytoma.
Photographer: Dr.Shraddha A Chandorkar
Imaging device: zeiss
Condition/keywords: optic disc melanocytoma
