-
Coats Disease
Dec 9 2021 by Filip Kecer
Multi-color image of a 14-year-old boy with Coats disease.
Photographer: Filip Kecer, National Institute of Childrens Diseases
Imaging device: Spectralis, Heidelberg Engineering
Condition/keywords: Coats' disease
-
Wyburn-Mason
Dec 9 2021 by Filip Kecer
Multi-color picture of an 18-year-old boy with Wyburn-Mason syndrome.
Photographer: Filip Kecer, National Institute of Childrens Diseases
Imaging device: Spectralis, Heidelberg Engineering
Condition/keywords: arteriovenous malformation, Wyburn-Mason
-
Wyburn-Mason
Dec 9 2021 by Filip Kecer
Multi-color picture of an 18-year-old boy with Wyburn-Mason syndrome.
Photographer: Filip Kecer, National Institute of Childrens Diseases
Imaging device: Spectralis, Heidelberg Engineering
Condition/keywords: arteriovenous malformation, Wyburn-Mason
-
Mucopolysaccharidosis
Dec 9 2021 by Filip Kecer
Infrared image of an 18-year-old boy with Mucopolysaccharidosis. His 24-year-old brother has exactly the same finding.
Photographer: Filip Kecer
Imaging device: Spectralis, Heidelberg Engineering
Condition/keywords: mucopolysaccharidoses
-
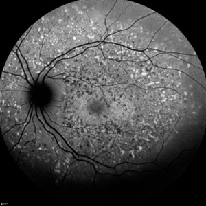
Cone-Rod Dystrophy
Dec 9 2021 by Filip Kecer
Fundus autofluorescence of a 12-year-old boy with genetically confirmed Cone-rod dystrophy.
Photographer: Filip Kecer
Imaging device: Spectralis, Heidelberg Engineering
Condition/keywords: autofluorescence imaging, cone dystrophy, dystrophy, rod dystrophy, Stargardt disease
-
Fundus Flavimaculatus
Dec 9 2021 by Filip Kecer
Fundus autofluorescence of a 13-year-old girl with suspected Fundus flavumaculatus.
Photographer: Filip Kecer
Imaging device: Spectralis, Heidelberg Engineering
Condition/keywords: fundus flavimaculatus, Stargardt disease
-
Stargardt Disease
Dec 9 2021 by Filip Kecer
Fundus autofluorescence of a 14-year-old girl with genetically confirmed Stargardt disease.
Photographer: Filip Kecer
Imaging device: Spectralis, Heidelberg Engineering
Condition/keywords: autofluorescence imaging, Stargardt disease
-
Neovascular vessels
Sep 22 2022 by Filip Kecer
Multicolor widefield scan of a 16-year-old girl with a neovascularization from disc to vitreous space
Photographer: Filip Kecer, National Institute of Childrens Diseases
Imaging device: Spectralis, Heidelberg Engineering
Condition/keywords: neovascularization (NV), neovascularization at the disc, uveitis, vitreous
-
ROP stage 3
Sep 22 2022 by Filip Kecer
IR cSLO widefield image of an 27-year-old man born as premature
Photographer: Filip Kecer, National Institute of Childrens Diseases
Imaging device: Spectralis, Heidelberg Engineering
Condition/keywords: retinopathy of prematurity stage 3, rop
-
Blood in vitreous space
Sep 22 2022 by Filip Kecer
IR cSLO widefield image of an 16-year-old girl with blood in vitreous space after the rupture of neovascular vessels
Photographer: Filip Kecer, National Institute of Childrens Diseases
Imaging device: Spectralis, Heidelberg Engineering
Condition/keywords: blood, neovascularization, uveitis, vitreous blood
-
Morbus Coats
Sep 27 2022 by Filip Kecer
Red-free picture of eye with Coats disease and after cryo treatment
Photographer: Filip Kecer, National Institute of Childrens Diseases
Imaging device: Spectralis, Heidelberg Engineering
Condition/keywords: COATS, Coats' disease, Cryopexy, red-free
-
Uveitis
Nov 25 2022 by Filip Kecer
Multicolor composite of an 15 year old boy with cyclitis posterior, first diagnosed with uveitis intermedia retinoschisis o.dx., since then he underwent several procedures, such as PPV, ILM peeling, capsulectomy, retinotomy, transscleral cryo
Photographer: Filip Kecer, National Institute of Childrens Diseases
Imaging device: Spectralis, Heidelberg Engineering
Condition/keywords: cyclitis, epiretinal membrane (ERM), uveitis
-
Central Serous Chorioretinopathy
Apr 15 2025 by Filip Kecer
FA&ICG late phase of a young woman with CSCR
Photographer: Filip Kecer, Oftalmocentrum Betliarska, Bratislava, Slovakia
Imaging device: Spectralis, Heidelberg Engineering
Condition/keywords: central serous chorioretinopathy (CSCR), Central Serous Chorioretinopathy (CSR), FA late phase, indocyanine green (ICG) angiography
