- 
     Cone Rod Dystrophy slide 1 Cone Rod Dystrophy slide 1Oct 22 2012 by Ronald C. Gentile, MD 30-year-old man with a history of early loss of color vision complained of recent nyctalopia and loss of peripheral vision in both eyes. ERG responses were reduced, greater on the photopic single-flash and flicker response compared to the scotopic ERG. Photographer: The New York Eye & Ear Infirmary Department of Medical Imaging Condition/keywords: cone dystrophy 
- 
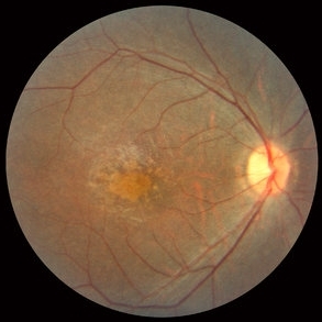
     Cone Rod Dystrophy slide 2 Cone Rod Dystrophy slide 2Oct 22 2012 by Ronald C. Gentile, MD Fundus examination revealed spotty pigmentary changes in the macular area with some peripheral depigmentation of the retinal pigment epithelium. Photographer: The New York Eye & Ear Infirmary Department of Medical Imaging Condition/keywords: cone dystrophy, retinal pigment epithelium 
