-
Retinal Cavernous Hemangioma
Sep 21 2018 by John S. King, MD
54 -year-old sent in with CME and Dx of BVO. She was 20/70. There are some exudates just nasal to the fovea at the edge of this photos, due to DME. There is a cluster of saccular aneurysms infero-temporally without any glial tissue overlying them.
Imaging device: Topcon
Condition/keywords: cavernous hemangioma of the retina
-
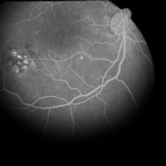
Retinal Cavernous Hemangioma
Sep 21 2018 by John S. King, MD
54-year-old sent in with CME and Dx of BVO. She was 20/70. She did not have a diagnosis of diabetes at the time, but FA finding suggestive of DR, so will get her tested via her PCP. There is a cluster of saccular aneurysms infero-temporally that show some hyperFL of the top of the aneurysm.
Photographer: Kay Dalby
Imaging device: Topcon
Condition/keywords: cavernous hemangioma of the retina
