- 
            
             By JEFFERSON R SOUSA, Tecg.º  (Biomedical Systems Technology) By JEFFERSON R SOUSA, Tecg.º  (Biomedical Systems Technology)
 Lens Oftalmologia - Hospital Beneficiência Portuguesa
- Uploaded on Sep 7, 2022.
- Last modified by Joshua Friedman on Sep 8, 2022.
- Rating
- Appears in
- Miscellaneous
- Condition/keywords
- subluxation of lens, lens luxation, Luxated lens to anterior segment
- Photographer
- JEFFERSON ROCHA DE SOUSA - Retinal Department at Instituto Dr. Suel Abujamra Sao Paulo-Brazil.
- Imaging device
- 
                Optical coherence tomography system
                
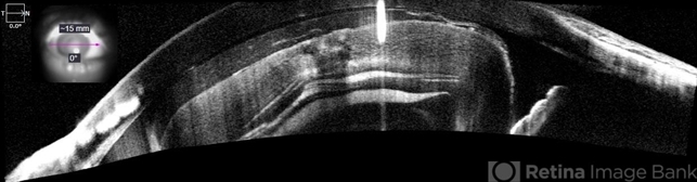
 Optical Coherence Tomography System - OCT CIRRUS 5000, Protocol Wide Angle to Angle.
- Description
- Patient 61 years old, Female, subta low vision after blunt trauma. In the anterior segment photograph, the presence of a lens in the anterior chamber is observed. In the previous follow-up OCT, the disorganization of this follow-up is clear. Above all, the documentation of these cases is essential for future decisions. This patient was urgently referred for a surgical procedure, mainly to control the intraocular pressure, which was at 60 IOP.

 
        
 Initializing download.
                Initializing download. 
             
             
             
             
             
             
            