A project from the
American Society of Retina Specialists
Home
About
Guidelines & FAQs
Contact
Upload
Create account
Sign in
Unknown
Download
File number: 9574
Comments
Sign in
to comment.
Initializing download.
Please wait...
By
Howard Schatz, MD
Uploaded on Aug 16, 2013.
Rating
Appears in
Unknown
Condition/keywords
unknown
Description
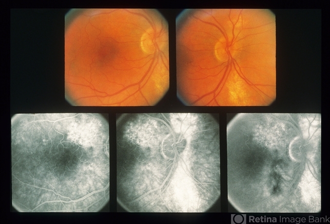
Sixty five year old white male, right eye 20/20, left eye 20/25.
Related files