-
By Jesus Lozano, MD
Hillel Yaffe Medical Center
Co-author(s): Dr. Jesús Lozano, Hillel Yaffe Medical Center, Hadera. Israel - Uploaded on Aug 5, 2022.
- Last modified by Joshua Friedman on Aug 11, 2022.
- Rating
- Appears in
- Miscellaneous
- Condition/keywords
- retina surgery
- Photographer
- Dr. Jesus Lozano Gutierrez
- Description
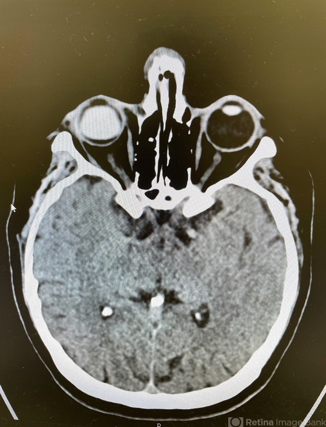
- An 65-year-old woman was taken to the Emergency Department after a fall. CT brain imaging demonstrated a well-defined, homogenous, hyperdense mass in the posterior segment of the right eye. Detailed history revealed previous vitreoretinal procedures for multiple retinal detachments. Ophthalmological examination confirmed presence of silicone oil in this eye.

Initializing download.