-
By Howard Schatz, MD
- Uploaded on Aug 16, 2013.
- Last modified by Caroline Bozell on Aug 16, 2013.
- Rating
- Appears in
- Normal
- Condition/keywords
- normal eye
- Description
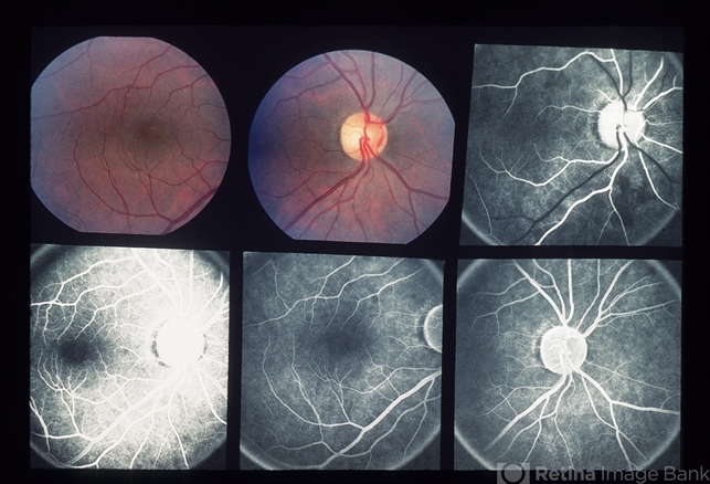
- 37-year-old black female, 20/200.

Initializing download.