-
By Elite Bor-Shavit, MD
D'Ambrosio Eye Care Inc. - Uploaded on Mar 24, 2022.
- Last modified by Joshua Friedman on Mar 24, 2022.
- Rating
- Appears in
- Miscellaneous
- Condition/keywords
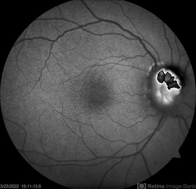
- optic disc drusen, papilledema
- Imaging device
- Fundus camera
- Description
- Fundus autofluorescence of a 41-years old patient with combined true papilledema and optic nerve head drusen, treated with Diamox and monitored.

Initializing download.