- 
            
            By Elite Bor-Shavit, MD 
 D'Ambrosio Eye Care Inc.
- Uploaded on Mar 24, 2022.
- Last modified by Joshua Friedman on Mar 24, 2022.
- Rating
- Appears in
- Miscellaneous
- Condition/keywords
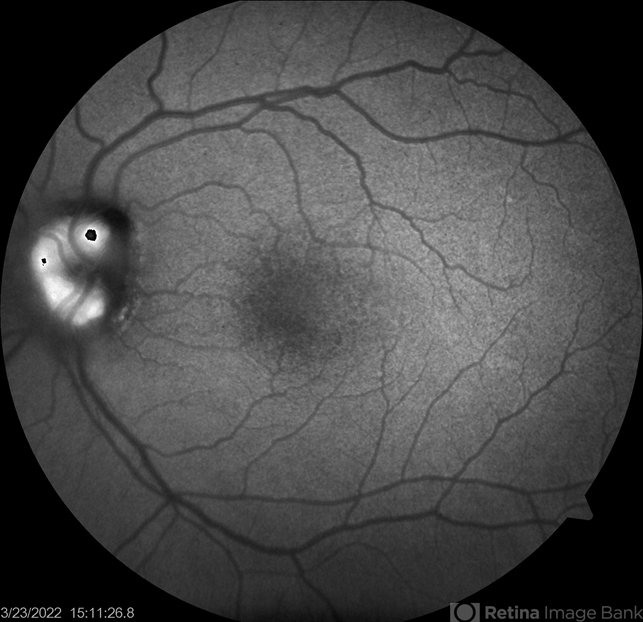
- optic disc drusen, papilledema
- Imaging device
- Fundus camera
- Description
- Fundus autofluorescence of a 41-years old patient with combined true papilledema and optic nerve head drusen, treated with Diamox and monitored.

 
        
 Initializing download.
                Initializing download. 
             
             
             
             
             
             
             
             
            