-
By Ahmad B. Tarabishy, MD
Retina Specialists of Tampa
Co-author(s): Ahmad Tarabishy MD, Retina Specialists of Tampa - Uploaded on Oct 27, 2021.
- Last modified by Jennifer Carstens on Oct 29, 2021.
- Rating
- Appears in
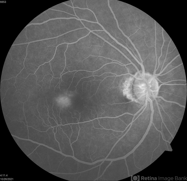
- Macular Telangiectasias
- Condition/keywords
- juxtafoveal telangiectasis, idiopathic macular telangiectasia, parafoveal telangiectasia
- Photographer
- Angela Rico, Retina Specialists of Tampa
- Imaging device
- Fundus camera
- Description
- Fluorescein angiogram of a 56 y.o. M with parafoveal telangiectasias. Early transit images show the delicate abnormal capillary network in the temporal parafoveal region. Late transit images show mild leakage.

Initializing download.