-
By Jason S. Calhoun
Mayo Clinic Jacksonville, Florida - Uploaded on Jul 16, 2013.
- Last modified by Caroline Bozell on Jul 17, 2013.
- Rating
- Appears in
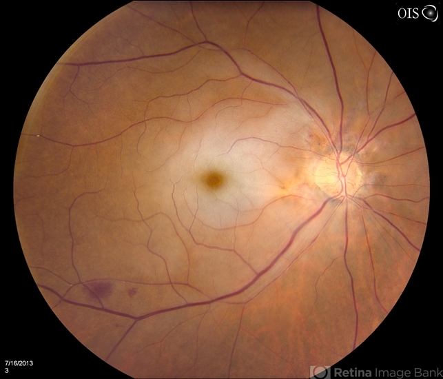
- Macular Degeneration (AMD)
- Photographer
- Jason S. Calhoun, Department of Ophthalmology, Mayo Clinic Jacksonville, Florida
- Imaging device
-
Fundus camera
TOPCON TRC 50-EX - Description
- Patient with active leaking of AMD in the left eye. VA is 20/40 in the left eye. Patient was treated with Eylea and will return in 1-month for follow up.

Initializing download.